You've been logged out. Click
here
to log back in.
Log In
Log In
BOLD Systems
Databases
Taxonomy
Identification
Workbench
Resources
Collemopsidium {genus} -
Ascomycota
;
Ascomycota_class_incertae_sedis
;
Ascomycota_order_incertae_sedis
;
Xanthopyreniaceae
;
Print
Search Taxonomy
Sub-taxa
Species (2)
Collemopsidium foveolatum [3]
Collemopsidium halodytes [1]
Taxon Description (Wikipedia)
full article at Wikipedia
BOLD Stats
Specimen Records:
5
Public Records:
0
Specimens with Sequences:
1
Public Species:
0
Specimens with Barcodes:
1
Public BINs:
0
Species:
2
Species With Barcodes:
1
Species List - Progress
Access Published & Released Data
Contributors (Specimens & Sequencing)
Specimen Depositories:
Sequencing Labs:
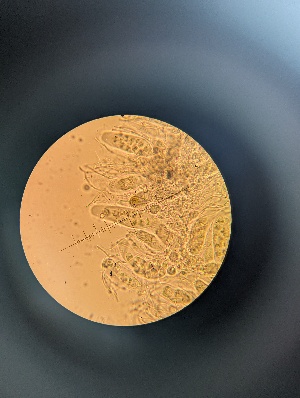
Imagery
images representing subtaxa of Collemopsidium
(
Collemopsidium halodytes
)
Sample ID:
OHa2023-08.02
License:
by-sa (2025)
License Holder:
Norwegian marine fungi, Institute of marine research
Collection Sites
Collected from 2 countries.
Top 20:
Show All Countries
Canada
3
Norway
1